Лекарство от давления вызвало энтеропатию и диарею у пожилой итальянки
00:53, 15.02.2026 / от: Daulet / в: Главные новости / 175 прсм.
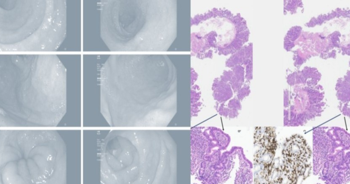
Итальянские врачи описали случай тяжелого поражения кишечника у пожилой пациентки, которая на протяжении года принимала олмесартан. Препарат вызвал у женщины выраженную атрофию ворсинок двенадцатиперстной кишки, что привело к развитию спру-подобной энтеропатии и выраженной водянистой диареи. После замены препарата произошло скорое восстановление функции кишечника. Случай описан в BMJ Case Reports....
Xiaomi 13T Pro против 12T Pro: в чем новый флагман уступает предшественнику?
00:54, 15.02.2026 / от: KoKeTkA / в: Наука и Техника / 97 прсм.В сентябре 2023 года Xiaomi анонсировала свой новый флагманский смартфон. Это Xiaomi 13T Pro, пришедший на смену прошлогоднему Xiaomi 12T Pro. Чем отличается новинка от предшественника и насколько сильно она изменилась, расскажем сейчас....
Sony Xperia 1 V против Xperia 5 V: в чем разница между двумя смартфонами?
00:54, 15.02.2026 / от: _The_blesk_ / в: Наука и Техника / 36 прсм.В этом году Sony представила два интересных смартфона: флагман Xperia 1 V и модель среднего класса Xperia 5 V. Чем они отличаются друг от друга, разберемся сейчас....
К молоку и маслу, которыми торгуют в наших магазинах, коровы имеют отношение далеко не всегда
00:54, 15.02.2026 / от: NEO / в: Главные новости / 29 прсм.
Даже тем, кто отдаёт предпочтение продуктам известных брендов, стоит внимательно изучать информацию на упаковке. Хотя и это едва ли на 100% убережёт от покупки фальсификата. Честные молочники жалуются на слабый спрос, но не готовы снижать цены. Потому на прилавках становится всё больше «как бы молока» и «как бы масла», которые на глаз не отличить от настоящих. И ситуация может быть намного хуже, чем показали недавние проверки....
Realme 11 4G против Realme 11 5G: чем отличаются новые смартфоны?
00:54, 15.02.2026 / от: ayonaraboy / в: Наука и Техника / 262 прсм.
У китайской компании Realme есть два смартфона с похожими именами. Это Realme 11 4G и Realme 11 5G, который, как может показаться на первый взгляд, отличаются лишь поддерживаемым стандартом сотовой связи. Но на самом деле, у этих смартфонов гораздо больше различий. Мы решили сравнить их друг с другом, чтобы вы могли понять, какой из них подойдет вам лучше всего....
Galaxy Watch 6 против Galaxy Watch 5: чем отличаются новые смарт-часы Samsung?
00:54, 15.02.2026 / от: ALINA / в: Наука и Техника / 212 прсм.
В конце июля южнокорейская компания Samsung представила свое новое носимое устройство — умные часы Samsung Galaxy Watch 6. Они пришли на смену прошлогодним Samsung Galaxy Watch 5 и получили несколько новых функций. Насколько важны эти улучшения и стоит ли переплачивать за новую модель, разберемся сейчас, сравнив между собой Samsung Galaxy Watch 6 и Galaxy Watch 5....
Обвинвшему Гуменника в своих неудачах украинцу ответили: "Это твои проблемы"
00:54, 15.02.2026 / от: GrizzLYa / в: Главные новости / 235 прсм.
Кирилл Марсак попытался найти оправдание неудачному выступлению в присутствии рядом россиянина....
Google Pixel 7 против Pixel 7a: чем отличаются эти похожие смартфоны?
00:54, 15.02.2026 / от: Darya / в: Наука и Техника / 11 прсм.
На первый взгляд Pixel 7a и Pixel 7 практически неотличимы друг от друга. Оба имеют одинаковый дизайн, один и тот же чипсет Google Tensor G2 и один и тот же дисплей с частотой обновления изображения 90 Гц. Но есть у этих моделей и определенные отличия. Если вы до сих пор не можете выбрать между Pixel 7 и Pixel 7a, то наша новая статья, где мы сравнили характеристики этих смартфонов, поможет вам определиться с выбором....
10 молодых учёных XXI века, за которыми стоит следить
00:54, 15.02.2026 / от: unkist / в: Главные новости / 227 прсм.
XXI век стал эпохой молодых умов, которые смело пересекают границы дисциплин и создают новую картину науки. Эти исследователи не просто продолжают традиции прошлого — они формируют будущее, объединяя математику, биотехнологии, физику и искусственный интеллект. 1. Петер Шольце — архитектор новой математики Немецкий математик Петер Шольце одним из первых создал язык современной арифметической геометрии. Его теория перфектоидных пространств стала прорывом в алгебраической топологии и теории чисел. Шольце получил Филдсовскую медаль и руководит Институтом Макса Планка по математике в Бонне. Его от...
Гороскоп: почему мы верим звездам больше, чем фактам
00:54, 15.02.2026 / от: WIN / в: Главные новости / 206 прсм.
Современный человек проверяет источники новостей, требует доказательств и скептически относится к непроверенной информации. Но тот же человек каждое утро открывает приложение с астрологическими прогнозами и планирует день с оглядкой на звезды. Гороскоп стал одним из немногих явлений, где рациональность уступает место интуиции. Что заставляет образованных людей доверять предсказаниям больше, чем статистике? Нейробиология веры в астрологические прогнозы Наш мозг эволюционно запрограммирован искать закономерности везде, даже там, где их нет. Этот механизм помогал предкам выживать — увидеть связь...
Как замедлить старение и укрепить здоровье: полезные привычки, действенные методы китайской медицины
00:54, 15.02.2026 / от: Девочка-скандал / в: Главные новости / 115 прсм.
В современных реалиях красота и здоровье неразрывно связаны друг с другом. Сейчас многие люди стремятся продлить молодость и обрести крепкое здоровье, поэтому активно прибегают к применению специальных методик. На сайте https://neoglory.ru/ можно узнать о простых и эффективных способах замедлить старение и улучшить самочувствие, среди которых особая роль отведена китайской медицине. Издательство Неоглори делится с читателями полезными материалами и продуктами, созданными авторитетными китайскими экспертами для возвращения привлекательности и быстрого восстановления здоровья естественным образо...
Сумки Dakine: ключевые особенности изделий, обзор востребованных моделей
00:54, 15.02.2026 / от: Vacya / в: Главные новости / 166 прсм.
Компания Dakine, известная в индустрии спортивного снаряжения, предлагает современным потребителям богатый выбор продукции. В рюкзаках и сумках этого бренда успешно сочетаются эстетика, качество, удобство и функциональность. Ассортимент выпускаемых изделий включает множество универсальных и специализированных моделей, обеспечивающих максимально комфортную и безопасную транспортировку спортивной экипировки. Выгодно приобрести сумки dakine можно в интернет-магазине КАНТ, реализующем высококачественные товары для спорта с доставкой по всей России. Особенности сумок Dakine Продукция бренда имеет с...
Зарядные устройства для радиомоделей: нюансы выбора, изделия из интернет-магазина «Воздушное хобби»
00:54, 15.02.2026 / от: SpiCe EnerGy / в: Главные новости / 150 прсм.
Радиоуправляемые изделия, включающие профессиональные и любительские модели, пользуются большой популярностью среди современного поколения. К данным инструментам относятся квадрокоптеры, самолеты и прочие аппараты с радиоуправлением. Рабочий ресурс таких приборов во многом зависит от аккумуляторов, долгая и безопасная эксплуатация которых обеспечивается благодаря надежным зарядным устройствам. Купить качественные зарядные устройства для радиомоделей можно в интернет-магазине «Воздушное хобби», где представлен широкий ассортимент продукции для модельного спорта и хобби. Нюансы выбора зарядного...
Можно ли выливать масло в раковину после готовки: запомните раз и навсегда
00:54, 15.02.2026 / от: Slovoed / в: Главные новости / 128 прсм.
"Про Город" Многие до сих пор выливают растительное масло после жарки прямо в раковину, не задумываясь о последствиях. На первый взгляд, кажется, что пару ложек остатков не могут принести вреда, но на деле это одна из самых распространённых и опасных бытовых ошибок. Масло не растворяется в воде и не смывается полностью даже горячей водой и моющими средствами. Вместо этого оно прилипает к стенкам труб, постепенно образуя плотную жирную плёнку, которая почти невозможно удалить без вызова сантехника. Когда масло застывает, оно смешивается с пищевыми остатками и другими загрязнениями, превращаясь...
Это растение дешевле, чем обогреватель, но греет квартиру лучше: старый секрет, забытый в СССР
00:54, 15.02.2026 / от: -KOT3- / в: Главные новости / 112 прсм.
Про Город Циперус выделяет два литра влаги в сутки, нефролепис чистит воздух от бактерий, а хлорофитум уничтожает формальдегид и пары ртути. Комнатные растения действительно использовали в СССР для утепления квартир, но не так, как принято думать: дело не в тепле, а в увлажнении воздуха и барьере от холодных окон. Идея прогревать квартиру фикусами и монстерами – чистый миф. Растения выделяют тепло при клеточном дыхании, но его количество настолько мизерно, что не влияет на температуру помещения. Тепловыделение прямо пропорционально массе: чтобы ощутить эффект, придется превратить жилье в джунг...
Это имя гарантирует одиночество: психологи назвали женские имена, которые отпугивают мужчин
00:54, 15.02.2026 / от: unkist / в: Главные новости / 80 прсм.
"Про Город" Это имя не делает женщину «обречённой» на одиночество. Но психологи отмечают: некоторые женские имена чаще вызывают у мужчин настороженность из‑за устойчивых стереотипов и ожиданий по поводу характера их обладательниц. Речь идёт не о мистике, а о том, как имя запускает в голове набор ассоциаций, влияющих на первое впечатление и готовность идти на сближение. Психологи и социологи объясняют это через номинативный детерминизм: обществo «приписывает» имени набор черт, а женщина частично подстраивается под эти ожидания. Для ряда имён в массовом сознании закрепился образ сильной, жёсткой...
Спасатели МЧС срочно выехали на ЧП со льдом Волги между Сумками и Юрино: есть пострадавший
00:54, 15.02.2026 / от: confused / в: Главные новости / 80 прсм.
МАСС (архив) с сайта www.marimedia.ruИнцидент произошел на замерзшей поверхности Волги в Марий Эл, в районе, расположенном между селом Сумки (Горномарийский район) и поселком Юрино. Сведения об этом событии внесены в оперативную сводку республиканского МЧС. Как сообщает "MariMedia". Сообщение об этом происшествии поступило спасателям накануне, около восьми часов вечера. По данным чрезвычайного ведомства, в результате инцидента один человек получил травмы. Точные обстоятельства случившегося в настоящее время устанавливаются. Напомним, 22 декабря в Килемарском районе рядом с поселком Дубовский н...
Тройная защита свыше: у людей с этой цифрой в дате рождения сразу три ангела-хранителя
00:54, 15.02.2026 / от: n3rv / в: Главные новости / 170 прсм.
"Про Город" У эзотериков есть конкретная версия: тройная защита свыше включается у людей, у которых в дате рождения доминирует цифра 3 — в дне, месяце, годе или в «числе судьбы» после сложения всех цифр. Нумерологи связывают эту цифру с божественной Троицей и особым покровительством высших сил, которое ощущается как сразу три ангела-хранителя. В нумерологических практиках «защитные» числа чаще всего ищут двумя способами: смотрят, какие цифры повторяются в самой дате рождения, и отдельно считают «число судьбы» — складывают все цифры дня, месяца и года до значения от 1 до 9. Например, дата 03.03...
Марсоход Curiosity запечатлел редкие марсианские облака (ФОТО)
00:54, 15.02.2026 / от: mod / в: Наука и Техника / 91 прсм.
Ровер прислал на Землю снимки светящихся в закатном солнце облаков, состоящих из сухого льда. Впервые они были замечены в прошлом марсианском году, а теперь исследователи подготовились к наблюдению....
WhatsApp все же отказался ограничивать функционал пользователям, которые не приняли новые правила мессенджера
00:54, 15.02.2026 / от: VOVA / в: Наука и Техника / 127 прсм.
Обновленная политика конфиденциальности WhatsApp вступила в силу 15 мая, и в компании намеревались постепенно отключать некоторые функции мессенджера пользователям, отказавшимся принять новые правила. Теперь сервис отказался от этого плана....
Китай запустил первый грузовой корабль к базовому модулю новой орбитальной станции
00:54, 15.02.2026 / от: BlAcK_DeViL / в: Наука и Техника / 82 прсм.
Запуск ракеты-носителя "Чанчжэн-7" с кораблем "Тяньчжоу-2" был осуществлен в 15 часов 55 минут по московскому времени с космодрома Вэньчан. Вскоре к модулю "Тяньхэ" будет отправлен пилотируемый корабль "Шэньчжоу-12" с тремя тайкунавтами....
Роскосмос запустил ракету-носитель "Союз-2.1б" с седьмой партией спутников OneWeb
00:54, 15.02.2026 / от: HIZIK97 / в: Наука и Техника / 179 прсм.
Ракета-носитель с разгонным блоком "Фрегат" и спутниками OneWeb стартовала в 20 часов 38 минут по московскому времени с космодрома Восточный. Выведение 36 аппаратов на орбиту займет несколько часов....
Законопроект, обязывающий иностранные IT-компании открывать филиалы в России, может превратить "Википедию" в иноагента
00:54, 15.02.2026 / от: _ 100 ivan 100 _ / в: Наука и Техника / 278 прсм.
С таким мнением выступил исполнительный директор НП "Викимедиа РУ" Станислав Козловский на заседании думского комитета по информационной политике. Комитет в итоге рекомендовал принять законопроект в первом чтении, но замечания могут учесть ко второму чтению....
Энергетическая уборка, или Худеем по фэншуй
00:54, 15.02.2026 / от: ER}{NT(BLR) / в: Семья / 280 прсм.
Стремление сбросить лишний вес и сохранить стройную фигуру является актуальным для очень и очень многих. Есть масса рекомендаций на эту тему, как традиционных, так и не очень. Например, вы можете обратиться к древнекитайскому учению фэншуй и навести порядок на своей кухне. Нет-нет, мы имеем в виду вовсе не обычную уборку, а… энергетическую!...
Усыновление по-итальянски
00:54, 15.02.2026 / от: kRitMaN / в: Семья / 13 прсм.
По итогам 2013 года Италия (с 2825 усыновленными малышами) стала второй в мире страной (после США) по количеству усыновлений. Двадцать пять процентов всех усыновленных за рубежом детей в Италии — российского происхождения. Почему же итальянцы предпочитают усыновлять маленьких иностранцев, а не своих соотечественников? Давайте разберемся в вопросе....
Брак: по расчету или по любви?
00:54, 15.02.2026 / от: ЧервякJakiro / в: Семья / 245 прсм.
Недавний социологический опрос, проведенный одним из российских сетевых порталов, опроверг мнение о том, что многие ищут в браке материальной стабильности. Как выяснилось, большинство наших соотечественников считают, что женитьба или замужество приносят куда больше финансовых трат, чем "дивидендов", и только пятая часть получает какие-то выгоды…...
Секреты "правильной" пасты по-итальянски
00:54, 15.02.2026 / от: ALEX 62RUS / в: Семья / 101 прсм.
Итальянцы гордятся одним из своих коронных блюд - пастой по-итальянски. Самые аппетитные блюда из пасты можно, конечно же, попробовать только на Апениннах. Но немногие догадываются, что почти все эти блюда можно с легкостью воспроизвести в домашних условиях - нужно только следовать нескольким несложным правилам приготовления итальянской пасты....
Какие продукты нельзя хранить в холодильнике
00:54, 15.02.2026 / от: JOKER / в: Семья / 269 прсм.
В холодильник мы обычно кладем припасы, которые предполагаем хранить длительный срок — хотя бы пару дней… Понятно, что мясу, колбасе, яйцам, сыру, маслу, молоку, творогу место именно там. Однако существуют пищевые продукты, которым низкие температуры категорически противопоказаны. Увы, не все об этом знают. О каких же продуктах идет речь?...
"Любовь спасёт мир". Вера Брежнева, дочь Анастасии Заворотнюк, Виктория и Дэвид Бекхэм и другие звёзды отмечают День влюблённых
00:54, 15.02.2026 / от: BlOnDiNoChKa / в: Искусство / 271 прсм.
В День святого Валентина российские и западные селебрити делятся в соцсетях своими моментами праздника. Виктория и Дэвид Бекхэм показали свои архивные фото, а их сын Бруклин, который сейчас находится с ними в состоянии "вражды", поделился снимком с женой Николой Пельтц.Принц Уильям и Кейт Миддлтон поздравили подданных в сети, поделившись своим совместным снимком, Николь Кидман, которая недавно пережила развод, праздновала накануне День Галентина — неофициальный праздник женской дружбы.Возлюбленная Тимура Родригеза, который сейчас со скандалом судится из-за алиментов с бывшей женой, испекла ему...
Александра Рогова, по слухам, уволили из "Модного приговора" после скандальной поездки с Rendez-Vous в Куршевель — несмотря на опровержение Первого канала
00:54, 15.02.2026 / от: huligan / в: Искусство / 46 прсм.
Стилиста Александра Рогова якобы уволили с поста ведущего "Модного приговора" после скандала с поездкой российских блогеров в Куршевель с Rendez-Vous, участником которой он был. На Первом канале уже опровергли увольнение Рогова, но осведомлённые источники утверждают обратное."Не хотелось верить, но говорят, что Александра Рогова убрали из "Модного приговора" по итогам его поездки в Куршевель с Rendez-Vous", — сообщили в телеграм-канале "Антиглянец", отметив, что стилист "оказался чуть не единственным, кого получилось действенно "отменить", из всех участников поездки.Ранее на Первом канале объя...
Первый выход Михаила Ефремова на сцену после освобождения из колонии встретили 10-минутными овациями
00:54, 15.02.2026 / от: PeR4Nk / в: Искусство / 133 прсм.
Михаил Ефремов, который отсидел срок за ДТП смертельным исходом, впервые после освобождения из колонии вышел на сцену. Накануне в "Мастерской "12" Никиты Михалкова" прошёл закрытый зрительский показ спектакля "Без свидетелей", где 62-летний Ефремов вместе со старшей дочерью режиссёра Анной Михалковой играют главные роли.Спектакль состоялся в рамках так называемого "генерального прогона" — показа "для своих". В зале были замечены Никита Высоцкий, Михаил Горевой, Ирина Розанова, Сергей Шакуров, Николай Бурляев, Дмитрий Бикбаев, Светлана Тома и Александр Цыпкин. Их зала за происходящим на сцене н...
Сенсация: казахстанский фигурист Михаил Шайдоров стал олимпийским чемпионом
00:54, 15.02.2026 / от: Кореглазка / в: Искусство / 220 прсм.
Фигурист из Казахстана Михаил Шайдоров сенсационно завоевал золотую медаль Олимпиады-2026 в Италии в мужском одиночном катании.21-летний спортсмен набрал 291,58 балла — 92,94 в короткой программе и 198,64 в произвольной. Оба показателя стали его личными рекордами. В итоговой таблице Шайдоров поднялся с пятого на первое место и принёс сборной Казахстана первую медаль на зимних Олимпиадах с 1994 года.Михаил ШайдоровМихаил ШайдоровМихаил ШайдоровСеребро и бронзу взяли японцы Юма Кагияма (280,06) и Сун Сато (274,90). Пётр Гуменник, который представляет Россию в статусе нейтрального спортсмена, ста...
"Подозревают в коварных замыслах по захвату должности". Сергей Безруков высказался о перспективе возглавить Школу-студию МХАТ вместо Константина Богомолова
00:54, 15.02.2026 / от: ayonaraboy / в: Искусство / 236 прсм.
Сергей Безруков прокомментировал слухи о том, что он якобы претендует на должность ректора Школы-студии МХАТ после того, как Константин Богомолов официально ушёл с этого поста по собственному желанию. 52-летний актёр заявил, что был сильно удивлён, услышав обвинения в "коварных планах по захвату должности", и подчеркнул, что даже в случае предложения возглавить вуз он бы отказался."У меня нет в планах подавать свою кандидатуру на пост ректора Школы-студии МХАТ. Моей занятости по руководству театром, преподавания во ВГИКе, артистической деятельности мне вполне достаточно. Однако из многочисленн...